Address
Jl. KRT Radjiman Widyodiningrat A23, Jatinegara, Cakung, Jakarta Timur -13970
Work Hours
Monday to Friday: 8AM - 5PM
Address
Jl. KRT Radjiman Widyodiningrat A23, Jatinegara, Cakung, Jakarta Timur -13970
Work Hours
Monday to Friday: 8AM - 5PM
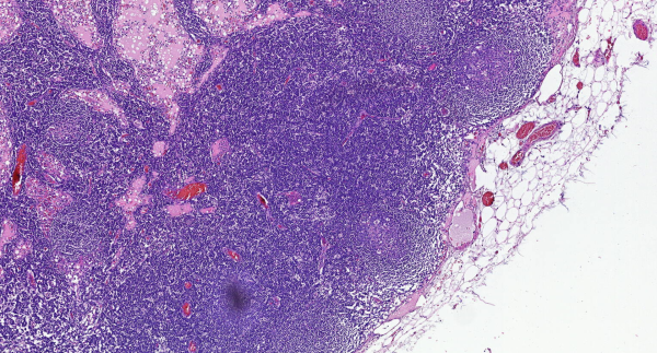
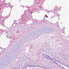
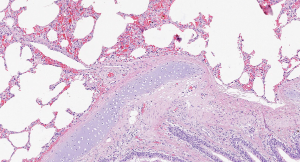
Formulasi hematoksilin yang digunakan dalam histopatologi dan sitologi untuk pewarnaan inti sel yang lebih presisi. Pewarnaan ini dapat digunakan baik secara progresif maupun regresif dalam prosedur rutin pewarnaan hematoksilin dan eosin (HE). Hematoksilin diekstraksi dari kayu logwood (Haematoxylin campechianum L.). Hematoksilin mengalami oksidasi menjadi hematein dan berikatan dengan ion logam (mordan). Hematein kemudian berubah menjadi warna inti yang tidak tergantikan. Kompleks hematein-mordan bermuatan positif selanjutnya berikatan dengan ion fosfat bermuatan negatif pada inti DNA, menghasilkan warna biru yang khas. Berbeda dengan hematoksilin menurut Mayer, hematoksilin yang dimodifikasi menurut Mayer-Lillie mengandung konsentrasi hematoksilin 5 kali lebih tinggi, distabilkan dengan gliserol, dan memiliki nilai pH rendah yang berkontribusi terhadap selektivitas tinggi dalam pengkodean warna sesuai kromatin. Dengan menggunakan metode pewarnaan progresif, sampel mikroskopis terpapar hematoksilin yang dimodifikasi menurut Mayer-Lillie cukup lama sehingga hanya inti yang diwarnai, sedangkan pewarnaan regresif juga dapat mewarnai mukin (selain inti). Hematoxylin ML dari BioGnost memberikan hasil yang sangat baik dalam pewarnaan membran inti, nukleoplasma, nukleolus, dan mukin apabila digunakan dengan metode regresif.
Varian:
Spesifikasi:
| Spesifikasi | Detail |
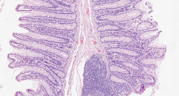
| Fungsi | Pewarnaan rutin hematoxylin dan eosin (HE) pada histologi. Hematoxylin H mewarnai membran inti, nukleoplasma, dan nukleolus dengan sangat baik. |
| Hasil | Hematoxylin and Eosin (HE) staining:
– Nukleus: Biru – Sitoplasma, kolagen, elastin, eritrosit: nuansa merah muda |
| Suhu Penyimpanan | 15 – 25 °C |
| Kondisi Penyimpanan | Jangan ditempatkan di dalam freezer, letakkan di tempat kering, hindari kontak langsung dengan sinar matahari |
| Umur Simpan | 4 Tahun |
Reviews
There are no reviews yet.